Chia sẻ

BẠN MUỐN CƯỜI ĐẸP HƠN?
By Victoria Healthcare 09 Tháng 4 2019
Nụ cười tỏa sáng thế giới: Có nhiều cách để nụ cười tươi càng sáng.
Hãy xem lại các công cụ hỗ trợ đắc lực từ niềng răng, mão, cầu răng, dán sứ veneers, đến tẩy trắng răng, cấy ghép, chỉnh nướu hoặc thậm chí là thử làm tăng toàn bộ, tất cả đều giúp nụ cười tươi càng đẹp.
PHỤC HỒI RĂNG
Phục hồi răng thông qua đặt một nhựa có màu như răng (resin) đã được làm cứng bằng một ánh sáng đặc biệt để "hàn" chất liệu này vào răng. Nằm trong số các thủ tục nha khoa thẩm mỹ dễ thực hiện nhất và ít tốn kém nhất, quy trình kết dính có thể "hàn gắn"răng bị nứt-bể, làm khít kẽ răng, thay đổi hình dáng răng, hoặc được sử dụng làm chất thay thế amalgam bạc khi trám răng.

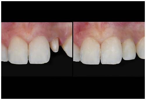
Răng sứ chất liệu Veneers
Chất liệu Vaneer là một lớp vỏ mỏng bao bọc bề ngoài răng. Công cụ vaneer này (có thể được làm từ sứ hoặc nhựa tổng hợp resin) được gắn vào mặt trước của răng, có thể thay đổi màu, hình dạng, kích cỡ hoặc chiều dài. So với công cụ mão răng khi bạn muốn đổi màu răng hoặc hình dạng thì loại răng sứ veneers này dễ sử dụng, giá thành cũng rẻ hơn nhiều.

MÃO RĂNG
Mão răng giống như một cái nón hình như cái răng, nó được đặt lên trên răng để cải thiện lại hình dạng, kích cỡ, lực răng và ngoại hình răng. Mão răng được làm từ sứ, hoặc kim loại và đa phần có thể sử dụng được đến 15 năm. Trước khi đặt mão răng, răng được bọc sẽ được mài đi, sau đó nha sĩ sẽ lắp mão răng lên. Khi hoàn tất, miếng trám onlays và 3/4 mão răng sẽ phủ gần hết răng được mão.
CHỈNH NHA (NIỀNG RĂNG)
Niềng răng có thể chỉnh lại răng bị cong hoặc bị lệch, và có thể cải thiện rất nhiều sức khỏe răng hàm và nụ cười - áp dụng được cho từ người lớn đến trẻ nhỏ. Niềng răng hoạt động bằng cách tạo áp lực liên tục theo thời gian để từ từ di chuyển răng vào đúng vị trí. Khi răng di chuyển, ổ răng cối thay đổi hình dạng do áp lực từ việc niềng răng. Niềng răng rất hiệu quả nhưng phải mất 2-3 năm mới thấy diệu dụng của công cụ này.

CÁC LOẠI NIỀNG RĂNG
Niềng răng bằng kim loại vẫn được sử dụng rộng rãi, bạn có thể muốn sử dụng các loại niềng răng khác không dễ nhận diện. Mắc cài - phần gắn vào mỗi răng - có thể trong suốt, có màu răng hoặc nhiều màu. Chúng thậm chí có thể được gắn vào phía sau của răng để không được nhìn ra. Có những niềng răng thậm chí "tàng hình", thường sử dụng trong các khuôn nhựa trong suốt, để dần dần di chuyển răng vào vị trí.
CHỈNH NƯỚU
Chính nướu có thể cải thiện nụ cười "khoe răng lợi" do răng ngắn hoặc do hàng nướu không đều. Nếu cần thiết, một lượng nhỏ mô nướu - và mô xương thừa - sẽ được lấy ra và vạch ra để răng lộ ra nhiều hơn. Quy trình này có thể được thực hiện cho một răng hoặc thậm chí là nguyên đường nướu răng, hoặc để một số răng để lộ một nụ cười tươi thoải mái tự nhiên.
Răng giả
Răng giả là loại răng có thể tháo rời và thay thế cho răng bị súng và các mô xung quanh. Có hai loại răng giả - hoàn chỉnh và một phần. Răng giả hoàn chỉnh được sử dụng khi tất cả các răng bị mất, còn răng giả một phần thì được sử dụng khi số răng lành vẫn còn.

Cầu răng (chỉnh nha 1 phần)
Một cầu răng thay thế từ 1 đến nhiều răng bằng cách đặt mão răng lên răng ở 2 bên kẽ răng, và gắn răng giả vào. Cầu răng sau đó được trám theo.
Cải thiện nụ cười
Sự kết hợp của các kỹ thuật nha khoa có thể tạo cho bạn nụ cười tuyệt đẹp. Ở đây nói về kỹ thuật sử dụng răng sứ chất liệu vaneer và mão răng chỉnh lại răng bị cong lệch, hàng nướu không đều, răng bị mẻ, vỡ và bị răng bị đổi màu. Nha khoa thẩm mỹ có thể tạo sự khác biệt lớn cho nụ cười và sức khỏe tổng thể răng miệng, công việc này phải được tính toán cẩn thận, do tiến trình và giá trị phải được đáp ứng tốt.
Nguồn: webMD


